티스토리 뷰
축농증 증상 축농증 치료방법,
후각 미각 상실 축농증 실제 경험담
안녕하세요.
요즘 일교차 때문에 비염, 축농증으로 고생 하시는 분들 많이 계시지요? 비염을 평생 달고 살던 제가 이번년도 들어서 축농증에 걸려 2024년 1월부터 3월 중순까지 약 2개월 정도의 기간동안 후각과 미각까지 완전히 상실했던 아주 괴로운 경험을 했었는데요, 현재 후각이 먼저 돌아오면서 미각도 돌아오고 60~70% 정도 돌아온 것 같습니다. 완전히 낫게 되면 그 후기 또한 글로 생생하게 남기려고 합니다.
비염만 알았지 말로만 듣던 축농증에 제가 걸릴줄은 상상도 못했었고, 그래서 그렇게 몇 개월동안 코감기와 몸살감기를 달고 살면서도 면역력 탓, 비염 탓, 수면 부족 탓, 육아로 인한 만성 피로 탓탓탓 여러 이유들을 감기의 원인으로 탓하며 단순 감기약만 길게 처방받으며 지냈습니다.
그러나 알고 보니 아주 심한 축농증에 걸려있다는 진단을 받고 저는 상당한 충격을 받았습니다. 왜냐하면 저는 평소 건강 관리를 잘 하는 편이었거든요. 영양제도 잘 챙겨먹고 성격이 FM이라는 소리도 많이 듣는 나름 바른 생활을 하는 사람이기 때문입니다. 건강을 생각해서 가까운 거리는 무조건 걷고, 지하철을 탈 때도 계단을 이용해 이동하고요. 조금도 가만히 있지 않고 움직이고 조사하고 공부하는 스타일이거든요.
저와 같이 축농증 의심은 가는데 긴가민가 하시는 분들, 그리고 현재 축농증 진단을 받으시고 고생하고 계시는 분들께 조금이라도 도움이 되었으면 하는 바람으로 글을 쓰게 되었습니다.
축농증으로 고생하시고 계신 분들 축농증에 대해 객관적인 정보 알고 싶으실것 같아 축농증 증상, 축농증 치료방법, 축농증에 좋은 음식 등에 관한 글도 아래에 사진과 함께 자세히 정리해놓았으니 천천히 읽어보세요.
◈ 축농증(부비동염) 이란?
축농증=부비동염
우리가 흔히 말하는 축농증은 의학용어로 '부비동염'이라고 합니다. 같은 말이라고 보시면 됩니다.
얼굴 내부 뼛속에는 몇 개의 빈 공간이 있는데 이런 빈 공간을 '코 옆에 있는 동굴들'이라는 의미에서 '부비동'이라 합니다. 이 빈 공간(부비동)은 머리 뼛속에 있는 뇌를 외부의 충격으로부터 보호해 주는 역할을 하기도 합니다.
부비동염은 이러한 부비동이라는 빈 공간에 세균, 바이러스가 침투하여 염증이 발생한 질환을 말합니다. 부비동염을 일컬어 흔히 '축농증'이라고 합니다. 부비동염은 각 개인의 증상과 기간에 따라 '급성 부비동염'과 '만성 부비동염'으로 구분됩니다.


1. 축농증 원인
부비동(코 주위의 얼굴 뼛속의 빈 공간)은 우리가 숨을 쉴 때 공기의 온도와 습도를 조절하고, 외부의 충격으로부터 뇌를 보호하는 역할을 합니다. 부비동은 작은 구멍을 통해서 콧속과 연결됩니다.
이를 통해 콧속이 환기되고 부비동 내의 분비물이 자연스럽게 콧속으로 배출되게 됩니다. 그런데 축농증(부비동염)은 이 콧 속의 빈 공간에 염증이 발생하여 콧물이 배출되지 못하고 그 안에 그대로 고여 있는 상태를 말합니다.
사람들이 흔히 말하는 '코 안에 농이 차있다. 고름이 차있다'라는 말이 여기서 나온 것입니다. 그리고 축농증은 유전되냐고 물었더니 의사선생님께서 유전성은 아니라고 하셨고, 알레르기성 비염(저의 축농증은 알레르지성 비염)이 있으면 면역력이 떨어지면 축농증 증세가 바로 발현된다고 하셨습니다.
여러 조사 끝에 내 면역력 강화에는 비타민B 복합군이 탁월하다는 결과에 도출했습니다. 약사들이 그렇게 추천을 하더라구요. 기존에는 사실 비타민C와 오메가3, 루테인 이렇게만 먹고 있었는데 바로 비타민B 복합군 영양제를 사서 먹기 시작했습니다.
꾸준히 먹으려고 가격대가 적당한 영양제를 사서 먹고 있는데 잃었던 후각과 미각도 서서히 돌아오고 콧물도 멈추는것을 보아서 어느 정도 효과가 있지 않을까 생각이 들었습니다. 이전에 솔가 비타민 B 컴플렉스를 먹었다가 피부에 여드름이 계속 났던 경험이 있었는데 이번 종근당 제품은 그런것이 하나도 없어서 참 다행이라는 생각이 들었습니다.
물론 유전성을 따지자면 갑을논박이 있겠으나 여러 축농증 환자들의 말을 들어보면 태어났을 때부터 코 구조 자체가 축농증에 잘 걸리게 생긴 사람이 있다고도하는데요, 제가 그 부분에 약간은 동의하는 부분이 저희 시댁 식구들이 다 코 모양이 비슷한데 일상 생활 중에서도 숨 쉬기를 어려워하고, 한쪽 콧구멍이 막혀 다른 한 쪽 콧구멍으로만 숨을 쉬기도 하고 어릴 때부터 코 문제 해결하려고 굉장히 고생을 했다고 합니다.
결국 막내 아가씨는 2년 전인가 코 수술까지 해서 나아졌는데 가까운 가족이 코에 관련해서는 참 복잡한 역사가 있어서인지 코 구조가 조금은 특별?한 집안들이 있는것 같다는 생각이 들더라구요. 제 남편도 중고등학생때 축농증 때문에 고생을 아주 심하게 했고 여전히도 피곤하고 과로하면 축농증 증세가 나타나서 비릿하고 안 좋은 쇠냄새가 코에서 난다고 합니다.
그런데 그 말로만 듣던 고약한 축농증을 내가 걸릴줄이야.. 정말 상상도 못했던 일인데 콧물이 물처럼 줄줄 흘러내리고 열이 오르고 마침내는 후각 미각까지 모두 상실해 보니 축농증이 얼마나 괴로운지 이제서야 알겠더라구요. 이래서 아파봐야 아픈 사람 속을 안다는 말이 맞나봅니다.
2. 축농증 증상
축농증 증상 급성기에는 권태감, 두통, 미열과 함께 코 막힘, 안면 통증 등의 증상이 나타납니다. 축농증 증상 만성기에는 코막힘, 지속적인 누런 콧물, 코 뒤로 넘어가는 콧물등의 감기와 비슷한 축농증 증상이 나타납니다. 축농증 증상이 더 심해지면 치통, 후각 감퇴, 두통, 집중력 감퇴 등의 증상이 발생합니다.
<축농증 증상 나열>
코막힘, 콧물, 발열, 권태감, 졸림, 두통, 안면통증, 후각장애, 치통, 목 통증, 눈 통증, 물처럼 줄줄 흘러내리는 콧물, 누런 코, 초록색의 코, 코에나 입에서 이상한 냄새가 남, 다른 특별한 증상없이 기침만 하는 경우도 있음
★ 만성 축농증 VS 급성 축농증 구분 ★
- 발병 4주 이내 -> 급성 축농증
- 3개월 이상 지속 -> 만성 축농증
그러나 단순히 기간으로 천편일률적으로 만성축농증과 급성 축농증을 구분지을 수는 없고 전문가의 진단에 따라 다를 수 있다.
어떤 분의 축농증 증상을 살펴보니 10년 전에 이미 축농증 수술을 했는데 축농증이 재발하여 새로운 축농증 증상을 보였다고 했습니다. 먼저 코막힘이 심해지기 시작해여 진득한 누런 코가 나오더니 평소에도 숨을 쉬기 힘들고 윗니에 통증까지 느껴저 치과에 방문했다고 하는데요,
당연히 치과에서는 치아에 아무런 문제가 없다고 하여 그대로 돌아왔고 조금 축농증 증세가 사그라드는 듯 하여 며칠 지냈는데 우연히 치통과 축농증의 연관성을 발견하고 병원에 내원하였더니 실제로 축농증으로 인해 고름이 치아 신경을 간섭하여 치통을 유발하고 있었다고 합니다.
☞ 치성 부비동염이 주로 발생하는 상악동은 코 양 옆에 있는 부비동입니다. 위턱에 있는 어금니 뿌리는 상악동과 매우 가깝게 붙어있어 여기에 염증이 생기면 상악동막을 뚫어 안쪽까지 깊에 퍼지게 되면서 부비동염이 생기게 됩니다.
만약 평소 코막힘, 콧물 등의 증상이 있는데 여기에 치통까지 함께 있다면 치성 부비동염을 의심볼 필요성이 있습니다. 치과 진료까지 받았는데 정상 소견 받으셨다면 이비인후과 축농증 여부를 확인해보시는게 좋으실 것 같습니다.
그런데 문제는 이런 축농증 증상이 대부분 단순 감기와 비슷해서 사람들이 급성, 만성이 되도록 알아채지 못하는 사람이 아주 많다는 것입니다. 저도 그랬으니까요.
오늘 날짜로 뜬 뉴스기사인데요, 아래 사진을 누르시면 바로 치통과 축농증과의 연관성에 관한 기사를 자세히 확인하실 수 있으십니다.
https://n.news.naver.com/article/296/0000076064?cds=news_my
코가 막히는데 치아도 아프다?...알고보니 이런 축농증?
치통의 원인은 충치가 대부분이다. 그러나 예상치도 못한 질환이 치통으로 나타나는 경우도 있어 정확한 진단이 필요하다. 충치를 제외하고 치통을 유발하는 원인은 뭐가 있을까. 평소 코막힘
n.news.naver.com
3. 어린이 축농증 증상
어린이 축농증 증상은 다음 6가지 증상으로 나타납니다.
①10일~14일 이상 지속되는 감기(때로 열이 동반합니다)
② 끈쩍끈쩍한 황록색의 비강 분비물, 콧물
③ 코가 목뒤로 넘어가고 기침, 구역, 구토, 인후통
④두통(6세 이하에서는 드문 현상)
⑤ 보채거나 축 늘어짐
⑥ 눈 주변에 나타나는 부종
4. 축농증 진단방법
축농증이 만성 세균성, 진균성으로 진행되었다면 조직검사가 필수적입니다. 단순 부비동 촬영 검사와 부비동 전산화 단층촬영(CT촬영)을 시행합니다.
(1) 전비경 검사와 비내시경 검사
쉽게 말하면 우리가 이비인후과에 가면 의사 선생님께서 기다란 줄이나 얇고 긴 봉 같은 것을 우리 콧 속 깊은 곳까지 넣어 현미경같은 것으로 보고 사진도 찍고 하는 것입니다. 우리가 치료 받을 때 화면으로 우리 콧속 안을 볼 수도 있지요.
이를 통해 후비로가 인두벽으로 흘러 내려오는 것을 볼 수 있어 인두 점막의 발적과 종창을 확인할 수 있습니다. 비내시경 검사를 시행하면 화농성 비루가 각 부비동 자연공을 통하여 배설되는 것을 관찰할 수 있고 침범된 부비동의 취를 정확하게 진단할 수 있습니다.
비내시경 검사는 전비경 검사보다 항생제 스테로이드, 알레르기 치료 등에 대한 반응을 정확하게 측정할 수 있습니다.
(2) 단순 촬영-엑스레이
영상의학적 검사는 단순 부비동 촬여을 말하는데 부비동에 대한 종합적 관찰, 발육 정도, 부비동의 연부 조직, 저류액의 유무, 종양의 발육, 침윤 상태 및 골벽 이상의 유무를 관찰하는데 유용합니다. 한편 소아 만성 부비동염의 증상과 방사선학적 이상 소 사이에 강한 연관성이 드러나지 않아서 단순 방사선 촬영의 의의가 점차 감소하고 있는 추세입니다.
(3) 전산화 단층촬영-CT촬영
전산화 단층 촬영은 부비동과 인접한 구조물을 평가하는 데 가장 유용한 검사입니다. 이를 통해 상악동의 전벽, 후벽, 측벽의 상태를 동시에 확인하고, 종양의 침윤 정도를 수비게 관찰할 수 있습니다. 아울러 사골동, 접형동, 안와 내 시신경, 시신경관 등의 이상 유무를 확인 할 수 있습니다(그러나 상악동 천자는 흡인과 치료 목적의 세척을 위해 상악동을 천자하는 방법입니다. 흔하게 사용되는 방법은 아닙니다)
내용이 조금 어렵게 느껴지시죠? 아마 병원에 가시면 진료실에서 콧 속을 현미경으로 확인하시고 바로 엑스레이와 CT 촬영을 한꺼번에 하자고 하실거에요. 저도 그렇게 저의 부비동 상태를 정확하게 확인했고 약물 치료 시작했습니다.
혹 엑스레이만 찍으시자고 하시는 의사 선생님도 계실텐데 저는 엑스레이와 함께 CT까지 함께 찍는것을 추천드립니다. 어차피 최소 2주~한달 정도 약물치료 후 안 나으면 결국 CT찍게 되어 있거든요. 미리 초기 치료 때 찍으셔서 정확한 진단 받으시고 시간 지나고 치료 경과도 정확하게 판단할 수 있습니다. 돈도 몇 만원 들지 않았고 실비 청구하면 되니 꼭 초진 때 찍으세요.


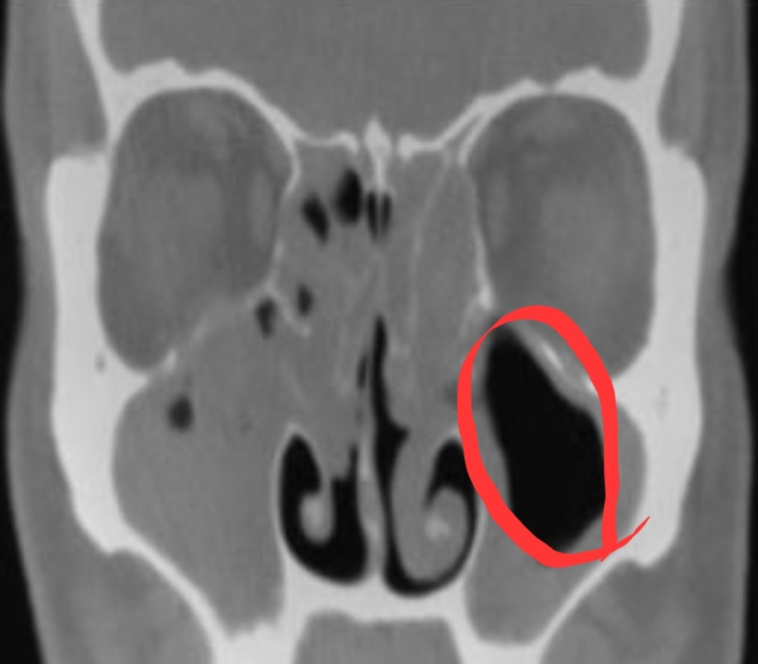
▶ 위 사진 분석
1) 첫 번째 사진: 코 옆 빨간색 동그라미 친 부분
-> 빨간색으로 표시한 부분이 있지요? 첫 번째 사진 보시면 코 옆쪽에 검은색 부분이 있는데 이곳이 바로 부비동입니다. 고름이 차 있으면 저 검정색 부분이 회색으로 보입니다.
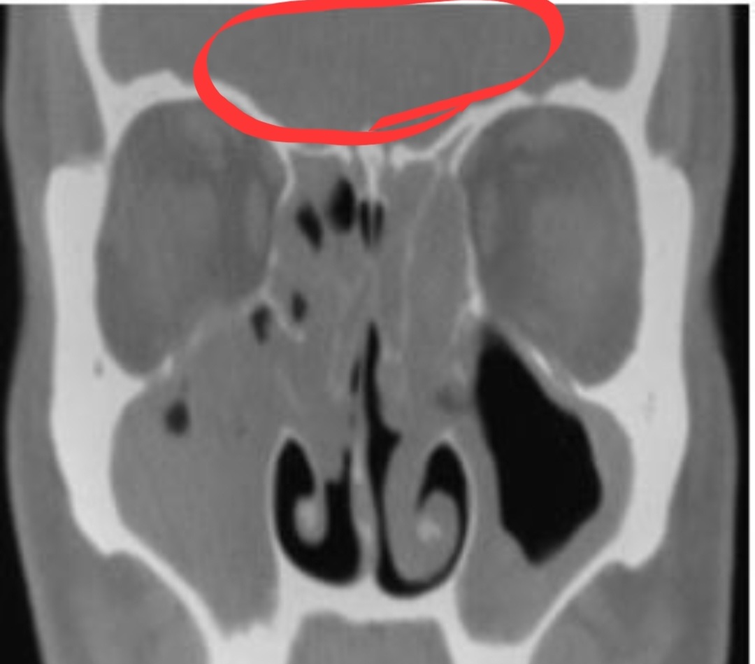
2) 두 번쨰 사진: 이마쪽에 빨간색으로 동그라미 친 부분
저 부분도 원래 저렇게 회색으로 채워져 있으면 안됩니다. 검정색으로 보여야 정상안데 저 이마 부분도 검은색 부분이 없는 것으로 보아 고름, 농(염증)으로 꽉 차 있는 것입니다.
그리고 3번 째 말씀드릴 곳은 양쪽 눈 사이 부분인데요, 그것은 아래 사진 보시면 2번으로 적어놓은 부분입니다. 엑스레이 사진에서 눈 사이 부분을 보시면 검은색 부분이 몇 군데 보이는데 저기도 원래 부비동으로 빈 공간이기 때문에 검정색으로 보이는게 정상입니다.
검정색은 농이 차 있지 않고 공간이 뻥 뚫려 있다는 의미에요. 위 엑스레이 사진으로 봐서도 양쪽 눈 과 코 사이 부분도 농으로 차 있는것으로 보입니다.
아래 사진으로 보시면 더 쉽게 이해가 되실겁니다. 1번, 2번, 3번으로 표시하여 설명해 놓았으니 아래 사진과 설명을 천천히 읽어보시기 바랍니다.

위 사진에 이해하기 쉬우시라고 부비동을 크게 1번~3번으로 써 놓았습니다. 이마 위 2곳, 눈과 코 사이 2곳, 양 볼 쪽에 2곳 총 6곳이 엑스레이를 찍었을 때 검은색으로 나타나야(고름이 없고 비어 있어야) 축농증 없는 정상 상태입니다.
제가 엑스레이를 찍었을 때도 공교롭게 위에 올려드린 엑스레이 사진과 비슷했던것 같은데 제가 저는 눈 옆에 농으로 더 꽉 차 있었고 오른쪽 볼쪽에 보이는 검은색 부분도 더 작게 나왔었습니다. 저분보다 제가 더 심했던것 같습니다.
의사선생님께서 특히 눈 옆 쪽에 찬 농을 보시면서 말씀하시기를 제 축농증 케이스가 복잡한 축농증 케이스라고 하셨습니다. 알레르기성 비염이 있어 면역력이 떨어지거나 계절, 온도에 따라 알레르기 반응이 나타나면 바로 재발하는 케이스라고 하셨습니다.
5. 축농증 치료방법
축농증 치료방법으로 내과적 치료방법과 외과적 치료방법(수술) 2가지가 있습니다.
1.내과적 치료방법
① 약물 치료
주로 경구용 항생제(먹는 항생제)를 처방하여 5일~1주 단위로 개인에게 맞는 항생제를 찾습니다. 부가적으로 비강 점막의 부종을 감소시키는 혈관수축제를 사용하게 되는데 마성 부비동염으로 인해 좁아진 부비동 자연공을 넓혀서 부비동의 환기와 배액을 손쉽게 해주기 위함입니다.
저는 정말 시중에 나와있는 항생제를 모조리 먹어본 것 같은데요.. 어떤 항생제는 먹으면 바로 설사를 합니다. 그래서 하루 3회 먹는 항생제면 저는 최소 4번 정도 설사를 해서 굉장히 고생했는데 알고보니 항생제 부작용이었고 저에게 맞지 않는 항생제라 그랬던 것이었습니다.
다시 내원하여 설사를 한다고 말씀하시면 다른 항생제로 바꿔주시고 유산균도 함께 처방해주시기도 합니다. 혹시 지금 항생제 드시는데 설사하시면 참지마시고 바로 병원에 가서 말씀하시고 다른 약으로 바꿔서 드시면 되겠습니다.
② 스테로이드성 약물 치료
그리고 여기에 스테로이드제제는 부비동 자연공의 염증 반을을 억제하여 부종을 감소시킴으로써 그 입구를 넓혀주어 스테로이드성 약물도 처방하게 됩니다.
저는 단순 항생제 치료를 수개월 했는데 먹히지 않았고, 결국 마지막 병원에서 스테이로드성 약물을 처방받고(저는 알레르기성 비염도 함께 있었기에) 3개월 동안 잃었던 후각과 미각이 점차 살아나기 시작했습니다.
③ 축농증 코세척



보조 치료 방법 중 가장 으뜸이라고 할 수 있겠네요. 생리 식염수를 이용한 코 내부를 세척하는 치료방법인데 코 세척을 통해 분비물에 의한 가피 형성을 억제해 줍니다.
제가 평생 비염을 달고 살면서도 절대 코세척은 안했는데요, 귀찮기도 하고 굳이 할 필요성을 느끼지도 못했거든요. 그런데 제가 이번에 의사선생님께서 약물치료와 함게 코 세척을 하라고 하셔서 약국에 가서 나잘후레쉬를 구입하여 매일 2~3회 코세척을 하고 있는데 정말 신세계입니다.



코가 뻥 뚫리고 숨 쉬기도 편하고, 코가 깨끗해진 기분이 바로 들어요. 왜 코세척을 이제 시작했는지 후회스럽기까지 했습니다. 육아로 정신없이 바쁜데요 코 세척은 꼭 하고 있습니다. 감기도 덜 걸린다니 코 세척 꼭 해야겠다는 다짐을 매일 하고 있는것 같습니다.
제가 사용하고 있는 코세척기는 병원기관에서 많이 쓰이고 있는 나잘후레쉬인데요. 요즘은 식염수가 분말로 나와서 물을 따르고 분말을 뿌리면 식염수가 되더라구요. 세상이 참 좋아졌습니다.
나잘후레쉬 코세척기과 나잘후레쉬 코세척 식염수 분말 사용한 후기와 식염수로 코세척하는 방법을 함께 올리려고 합니다. 귀찮더라고 꼭 하셔야합니다. 저처럼 후각 미각까지 상실하고 고생하지 마세요..ㅠㅠ
이상민씨가 광고하는 제품도 있긴 한데 코세척 해보시면 아시겠지만 나잘 후레쉬 코세척기가 V자형으로 입구가 꺾여 있어 코 세척시 더 편리합니다.
② 외과적 치료방법(축농증 수술)
내과적 치료(약물치료)에 반응하지 않는 만성 부비동염의 경우 수술 치료의 필요성이 있습니다. 수술 치료의 원칙은 다음과 같습니다.
첫째, 자연공을 통한 부비동의 배액과 환기 유지
둘째, 발병의 선행 요인인 비강 내 구조적 이상을 제거 또는 교정
셋째, 내시경 수술: 부비동 점막의 병변이 비가역적이라면 부비동 점막을 제거하는데 일반적으로 부비동 내시경 수술을 시행한다. 일부 환자들에게는 풍선카테터 부비동 수술을 시행하기도 한다. 수술 전에 부비동의 염증을 치료함으로써 분비물의 배액을 막는 자연공의 점막 부종을 줄이고 부비동에 저류된 분비물의 배액을 촉진한다. 섬모의 기능을 촉진하고 치료 중일때나 치료 후에 자연공의 소통을 유지시킬 수 있는 내과적인 치료를 선행해야 한다.
축농증 수술 소요시간은 사람마다 다른데 저 같은 경우는 한 쪽당 약 1시간, 두 쪽 모두 해서 넉넉히 2시간 소요될거라고 해셨고, 일반 병원에서는 축농증 수술을 부분마취로 진행하며 전신마취를 원한다면 대학병원으로 가야한다고 하셨습니다.
비용은 아직 제가 안 받아봐서 정확하지는 않지만 대게 1박 2일이나 2박 3일로 입원하여 축농증 수술을 진행하고, 축농증 수술비용으로 200~300만원 정도 든다고 합니다. 축농증 수술을 입원하지 않고 하시는 분들도 많이 있다고 합니다.
제가 두 번째로 갔던 이비인후과 의사선생님께서는 종합병원 과장까지 하셨던 분이셨는데 입원 없이 당일 수술하고 귀가하여 일상 생활 가능하다고 말씀하셨습니다. 그렇게 말씀하신것 보면 축농증 수술이 입원까지 할 필요는 없지만 여러 검사도 해야하고 수술이다 보니 비용이 많이 들기 때문에 실비 청구로 진행하려면 입원 치료를 하시는 것을 추천드립니다.
저도 이번 약물치료 반응을 지켜보고 효과가 없으면 수술을 하기로 했거든요. 수술하게 되면 수술 후기도 올리도록 하겠습니다.
6. 축농증에 좋은 음식
★ 1. 물(실내 온도/습도 조절도 함께 해야) ★
축농증의 최대의 적은 '건조한 환경'입니다. 건조한 환경에서는 코 점막이 건조해지고 분비물이 안에서 농축되어 배출되지 못하기 때문에 축농증 증상이 악화될 수 있습니다. 따라서 수분은 축농증 관리에 있어 가장 핵심적인 열쇠라고라고도 할 수 있습니다. 충분한 물(수분) 섭취는 코와 부비동의 점막을 촉촉하게 유지하고 점액의 흐름을 원활하게 하여 축농증 증상 완화에 매우 도움을 줍니다. 또한 실내 온도와 습도 조절에 각별히 신경을 쓰셔서 코 점막이 건조해지지 않도록 해야 합니다.
2. 생강과 마늘
생강 오일을 코 주변에 바르면 코막힘을 완화시키고 축농증 증상을 개선 할 수 있다는 사실을 여러분은 알고 게셨나요? 그 이유는 진저롤이라는 성분이 항균 작용을 하기 때문인데, 여기에 더해 강력한 항염증 성분을 가지고 있기 때문에 생강차를 드시면 축농증 증상 완화에 도움을 줍니다.
마늘은 강력한 항균 및 항염증 성분을 가진 식품입니다. 알리신이라는 성분이 세균과 바이러스를 제거하는데 매우 효과적이고 염증을 줄이는데도 큰 도움이 됩니다. 마늘을 먹는 것 뿐만 아니라 마늘을 다진 후 코에 대고 향을 2~3분 흡입하는 방법도 도움이 되는 민간요법이라고 하니 참고하시기 바랍니다.
3. 빨간양파
빨간 양파, 마트에 가시면 보랏빛 양파 많이 보셨을텐데요, 연구에 의하면 양파의 퀴논 성분인 퀘르세틴이 항염증 효과에 탁월하다고 합니다. 퀘르세틴이 염증 매개체인 일산화질소화 프로스타글란딘 E2의 분비를 억제시켜 염증으로 인해 발생하는 축농증 증상을 완화시키는데 도움을 줍니다.
4. 시금치와 브로콜리
시금치는 천연 항균제라고 불릴만큼 뛰어난 항균 효과가 있는 채소입니다. 시금치네는 다양한 페놀화합물이 포함되어 있고, 세균의 성장을 억제하여 세균의 세포 구조를 파괴하는데 도움을 줍니다. 이 뿐만 아니라 항상화 작용을 통해 세포 손상을 에방하고 세균의 성장을 억제 시켜주는 베타카로틴 성분이 풍부하여 축농증 증상 완화에 효과적이라고 할 수 있습니다.
브로콜리는 설포라판과 비타민C 등의 영양소가 매우 풍부하여 축농증 증상 완화에 도움이 됩니다. 설포라판의 강력한 황상화 작용으로 콧 속의 염증을 완화시키고 비타민C는 면역 체계를 강화시킵니다.
5. 토마토
토마토에는 리코펜이라는 성분이 함유되어 있는데 이 성분은 항염증 작용에 대한 과학적 증거가 수없이 밝혀져 있습니다. 다양한 연구들이 리코펜이 염증을 억제하는데 효과가 있다고 보여주는데 항상화 작용, 염증 완화 효능이 매우 뛰어나며 비타민C 또한 함유하고 있어 축농증 증상 완화에 가장 핵심인 면역력 강화에 도움을 줍니다.
6. 레드비트
비트 속 풍부한 파이토케미컬, 붉은 항산과 색소인 카로티노이드 중 라이코펜은 항암, 항노화, 항염증 작용이 매우 우수하여 축농증 증상 완화에 매우 도움이 되는데 비트는 혈관 청소부라고 불릴만큼 혈관 장애 있으신 분들에게 각광을 받고 있는 식품이기도 합니다.
7. 무
무에는 메틸메르캅탄 성분이 있습니다. 이 성분은 감기 바이러스를 억제하는데 도움이 된다고 알려져 있습니다. 또한 축농증이나 비염 등과 같이 코가 막히고 두통을 개선하는데도 효과가 있습니다. 만성적으로 기침을 하시는 분들 또한 기침 완화에 무가 좋다고 합니다. 또한 무에 비타민C성분이 많기 때문에 면역력 유지와 축농증 예방에도 도움이 됩니다.
8. 대추
대추는 코 점막의 모세혈관의 염증을 억제시키는데 탁월한 효과가 있습니다. 꾸준하게 섭취할 경우 축농증 증상완화에 도움이 되고 축농증 치료에도 꾸준히 사용되고 있습니다. 또한 말린 대추나 대추차를 꾸준하게 섭취해준다면 면역력을 강화시키고 수면 부족과 스트레스 완화에도 도움이 됩니다.
9. 작두콩
작두콩에는 일반 콩에 비해 비타민A, 비타민C 성분이 풍부하게 함유되어 있습니다. 그래서 항염 작용이 매우 뛰어나 염증성 질환 예방에도 도움이 되고 작두콩에 함유되어 있는 성분이 부비동 내 점막에 생성된 염증을 완화하는데 도움이 된다고 알려져있습니다.
저는 이미 언급드렸다시피 후각과 미각이 약 2개월 정도 상실한채로 지내다가 지금은 스테로이드성 항생제 약물치료(약 3주) 하면서 다시 후각과 미각을 되찾았습니다. 완치 되면 완치후기도 한 번 올리겠습니다.
여러분도 저처럼 고생하지 마시고 아래 글도 보시고 축농증 증상, 축농증 치료방법, 축농증 수술 등에 관한 글들 찾아보시면서 축농증 완전히 극복하시길 간절히 바랍니다.
긴 글 끝까지 읽어주셔서 감사합니다. 축농증 완치를 간절이 기원합니다.